科室动态 - 骨二科(运动医学科、关节外科、上肢骨科、手外科)

您的位置: 骨二科(运动医学科、关节外科、上肢骨科、手外科) 科室动态
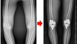
  • 守护膝关节健康,且行且珍“膝”——严重膝关节病变,膝关节置换能帮到您!

    守护膝关节健康,且行且珍“膝”——严重膝关节病变,膝关节置换能帮到您!

    守护膝关节健康,且行且珍“膝”——严重膝关节病变,膝关节置换能帮到您!

    发布时间:2026-02-11|来自:宣传统战部
  • 名医领航,共启骨科发展新篇

    名医领航,共启骨科发展新篇

    名医领航,共启骨科发展新篇

    发布时间:2025-12-17|来自:宣传统战部
  • 拐杖的使用方法

    拐杖的使用方法

    发布时间:2025-05-28|来自:宣传统战部
  • 髋关节置换术后的康复功能锻炼

    髋关节置换术后的康复功能锻炼

    发布时间:2025-05-22|来自:宣传统战部
  • 如何正确佩戴前臂吊带

    如何正确佩戴前臂吊带

    <iframeclass="video_iframerich_pages"data-vidtype="2"data-mpvid="wxv_3906384378842120200"data-cover="http%3A%2F%2Fmmbiz.qpic.cn%2Fmmbiz_jpg%2FO110gPv3ibknwLpDZMz9K0dxSwDqX0dtyXlqHqCDdQh4nicqicvhjdPRzss4s3vwknhY6AUTfGGKovjHoOHeaV9k...

    发布时间:2025-03-20|来自:院长办
  • 【媒体报道】《健康伴我行》医生提醒:科学健身 预防运动损伤

    【媒体报道】《健康伴我行》医生提醒:科学健身 预防运动损伤

    请看开平广播电视台报道<iframeclass="video_iframerich_pages"data-vidtype="2"data-mpvid="wxv_3590797365130641410"data-cover="http%3A%2F%2Fmmbiz.qpic.cn%2Fsz_mmbiz_jpg%2F3eOwCW0ibkSGACQSsZET5cedvKibNUjfh4A4ZhsibRLFUpmPPtic7EMpfCpP9ky...

    发布时间:2024-08-14|来自:院长办
  • 【健康科普】骨质疏松患者如何预防骨折

    【健康科普】骨质疏松患者如何预防骨折

    骨质疏松是一种常见的骨代谢疾病,其特征是骨密度降低和骨微结构破坏,导致骨脆性增加,容易发生骨折。骨质疏松的危害是多方面的,包括骨折风险增加、疼痛与不适、身体形态改变、心理压力和经济负担。这种疾病在全球范围内都普遍存在,对患者的身心...

    发布时间:2024-03-06|来自:院长办
  • 【学术盛宴】江门市医学会运动医学诊疗学习班学术会议

    【学术盛宴】江门市医学会运动医学诊疗学习班学术会议

    为进一步提高骨科医生运动创伤理论基础,增强其诊治能力,促进运动医学学术交流与发展,我院于2021年12月11日上午,由江门市医学会运动医学分会联合我院骨二科(外六科)主办的“运动医学诊疗学习班”活动在我院张襯大楼九楼会议厅隆重举行。学习班...

    发布时间:2021-12-17|来自:外六科